Tag: tumore

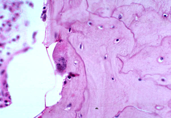
Identificato il gene del tumore a cellule giganti
Italia – I ricercatori dell’Istituto di genetica e biofisica del Consiglio nazionale delle ricerche (Igb-Cnr) di Napoli hanno identificato il gene ZNF687 come responsabile della…

Caso Jolie: Prof. Giorgio Macellari (AIBC) “l’esternazione dell’attrice può seminare il panico e avviare a scelte sbagliate”
“La recente esternazione di Angelina Jolie in merito alla sua decisione di farsi togliere entrambe le mammelle per timore di un cancro è stata davvero…

Letto per voi: A seno nudo
Quattordici donne che si mettono a nudo nella loro parte più intima, fragile, dolorosa. Quattordici donne che hanno avuto un tumore al seno e sono…

LIFELINE, letteralmente cima di salvataggio…
Aiutate i bambini malati a vivere, basta poco per salvare una vita. LIFELINE ITALIA è una onlus costituitasi a Padova nel 2003 (organizzazione nata in…
Devi effettuare l'accesso per postare un commento.